
Upcoming Webinar ~ October 23rd
Upcoming Webinar ~ October 23rd
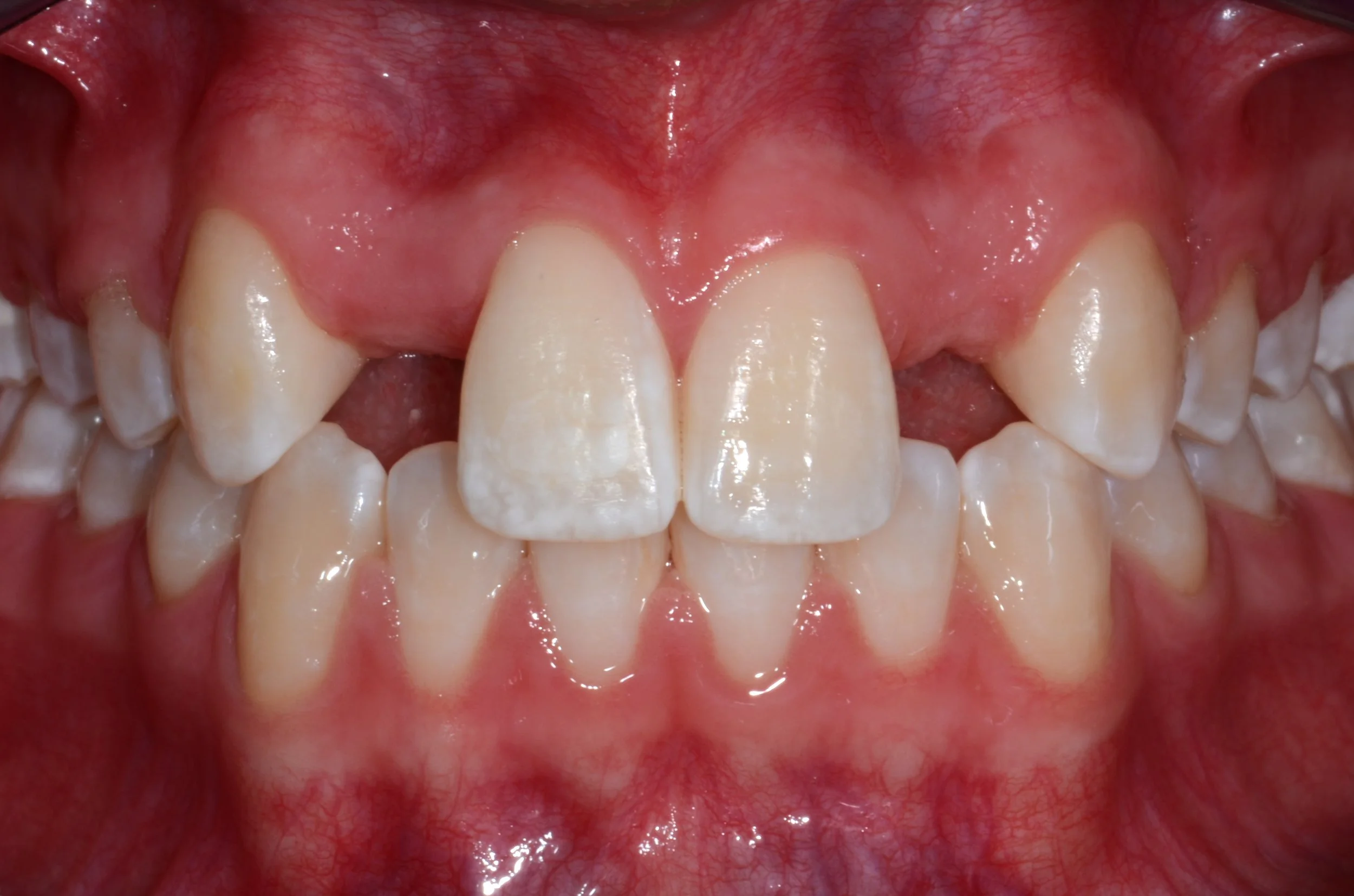
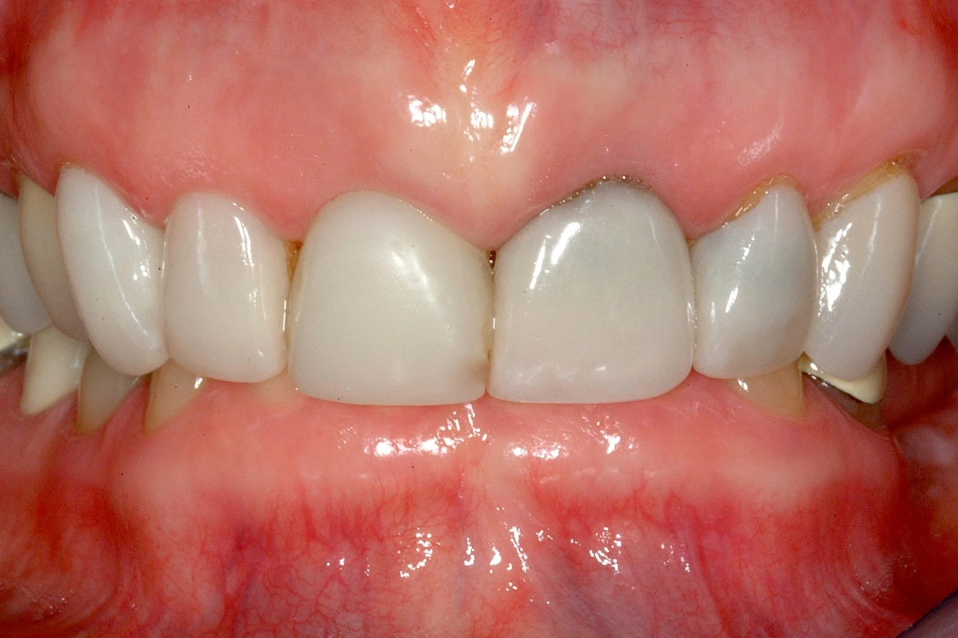
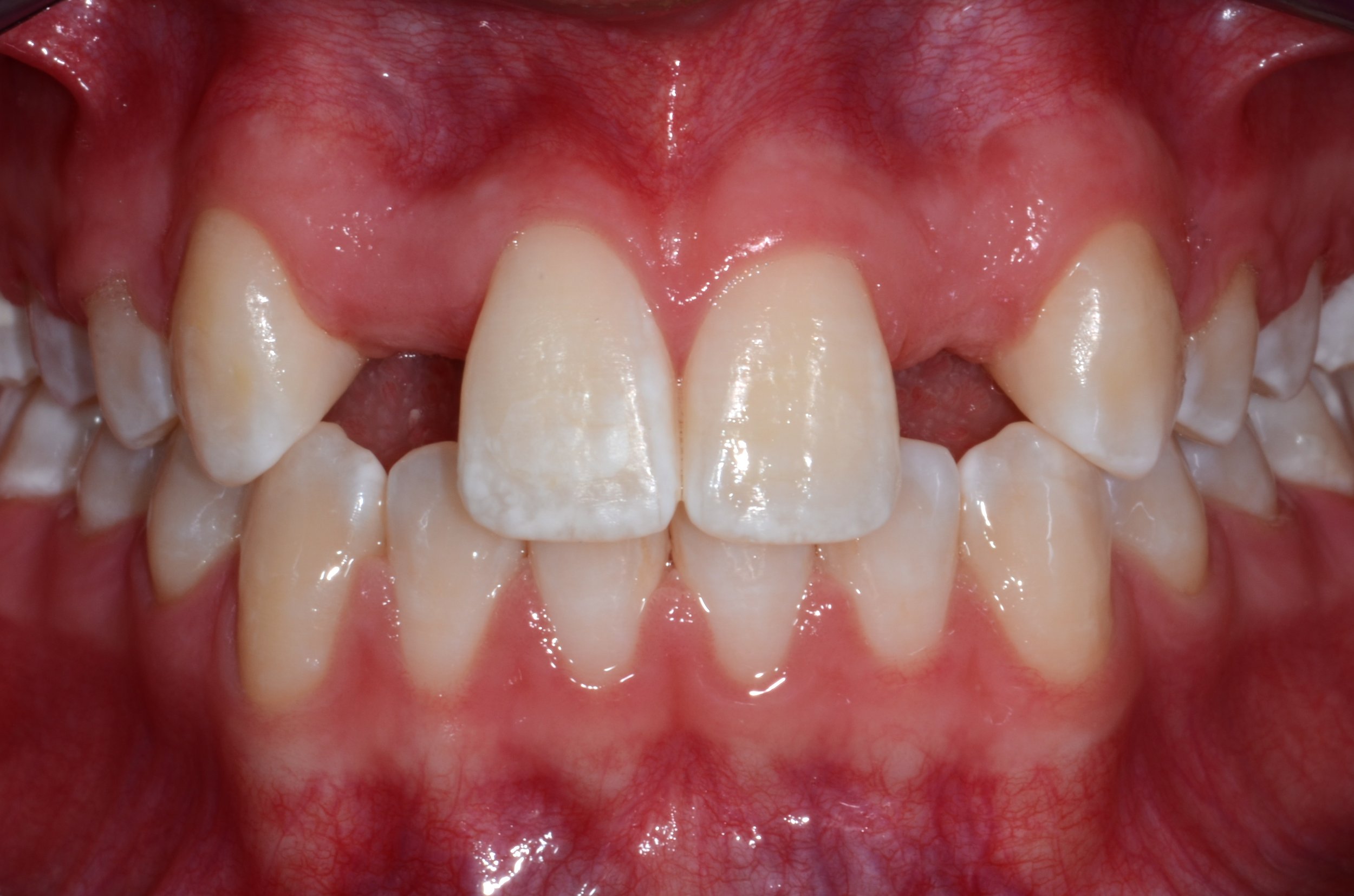
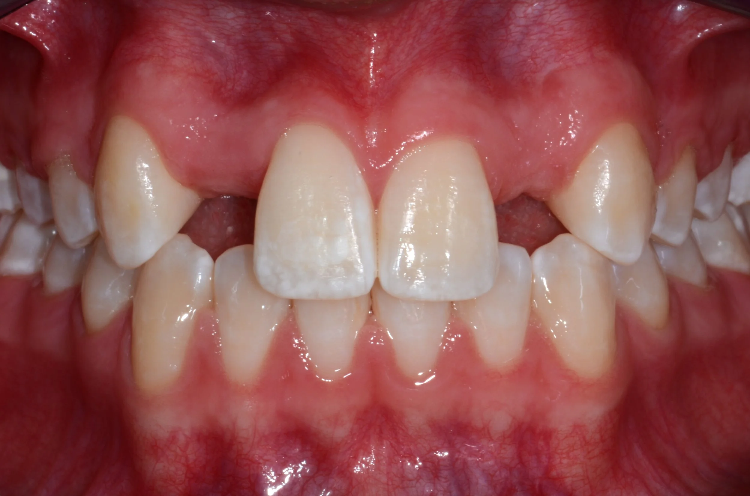
Congenitally Missing Lateral - October 23rd
Webinars What to Expect…
Kokich Education webinars operate on a subscription-based model where participants must pay for a seat to join each webinar. These webinars are scheduled to take place once a month on a specific date, providing valuable educational content in orthodontics and dentistry. After securing a spot by paying the required fee, participants receive access to live sessions featuring expert presentations, interactive discussions, and Q&A opportunities. Each webinar covers new topics, allowing attendees to enhance their knowledge over time. Registration is typically required ahead of the session to reserve a place, and detailed instructions on how to join are sent in advance.
The Kokich Education Study Club is a membership based program that grants members private access to discounted webinars and a video library full of how to videos, lectures, and case presentations. There are two membership options to choose from.
Basic membership - offers you a discount on webinars and access to the video library
Monthly Premium & Annual Premium membership - offers you FREE full access to the webinars, video library, and the ability to communicate directly with Dr. Kokich through a mentorship