Building a Community where Innovative Practitioners can Collaborate

“Advancing Tradition through Interdisciplinary Excellence”

Upcoming Webinar ~ March 19th

Upcoming Webinar ~ March 19th

Interdisciplinary Collaboration - the Key to Treatment Success (CE Eligible) - March 19th

All Access Subscribers get free admission to any monthly webinars

Kokich Education now offers CE Credits for all LIVE Webinars

Kokich Education Study Club

The Kokich Education Study Club is a membership-based program that grants members private access to discounted webinars and a video library full of how-to videos, lectures, and case presentations. There are two membership options to choose from.

  • Video Library Access - offers you access to 20 hours worth of educational content with monthly updates

  • All Access membership - offers you full access to the webinars, video library, and the ability to communicate directly with Dr. Kokich through a mentorship. Continuing Education Credits are now available with purchase.

Click the link below to learn more about the membership options

Educational Services for Innovative Practitioners

Webinars

Kokich Education's webinars are offered monthly. They will be 60 minutes zoom sessions and open to anybody interested in attending. Space will be limited - so registration is necessary. If you are a KE Study Club Member, you will be able to reserve a spot at a reduced price.

Video Library

There are a wide variety of videos that range from “how-to” instructional shorts to full-length presentations and association lectures. You will even find a few from Dr. Vince Kokich Sr’s previous American Association of Orthodontics lectures inside! Both the Basic and Premium Study Club memberships have access to the full video library.

Follow us on social!

Welcome to Kokich Education

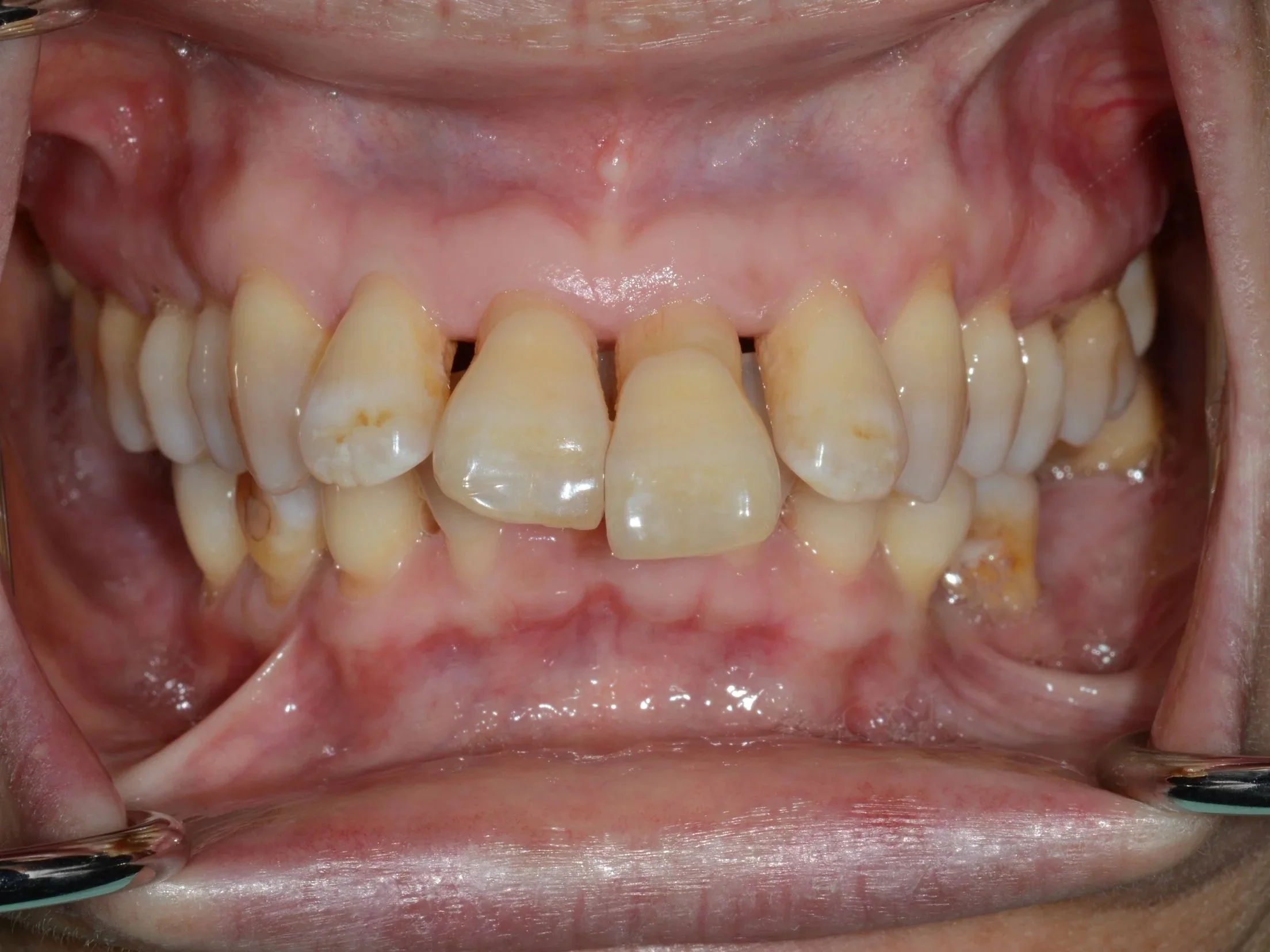
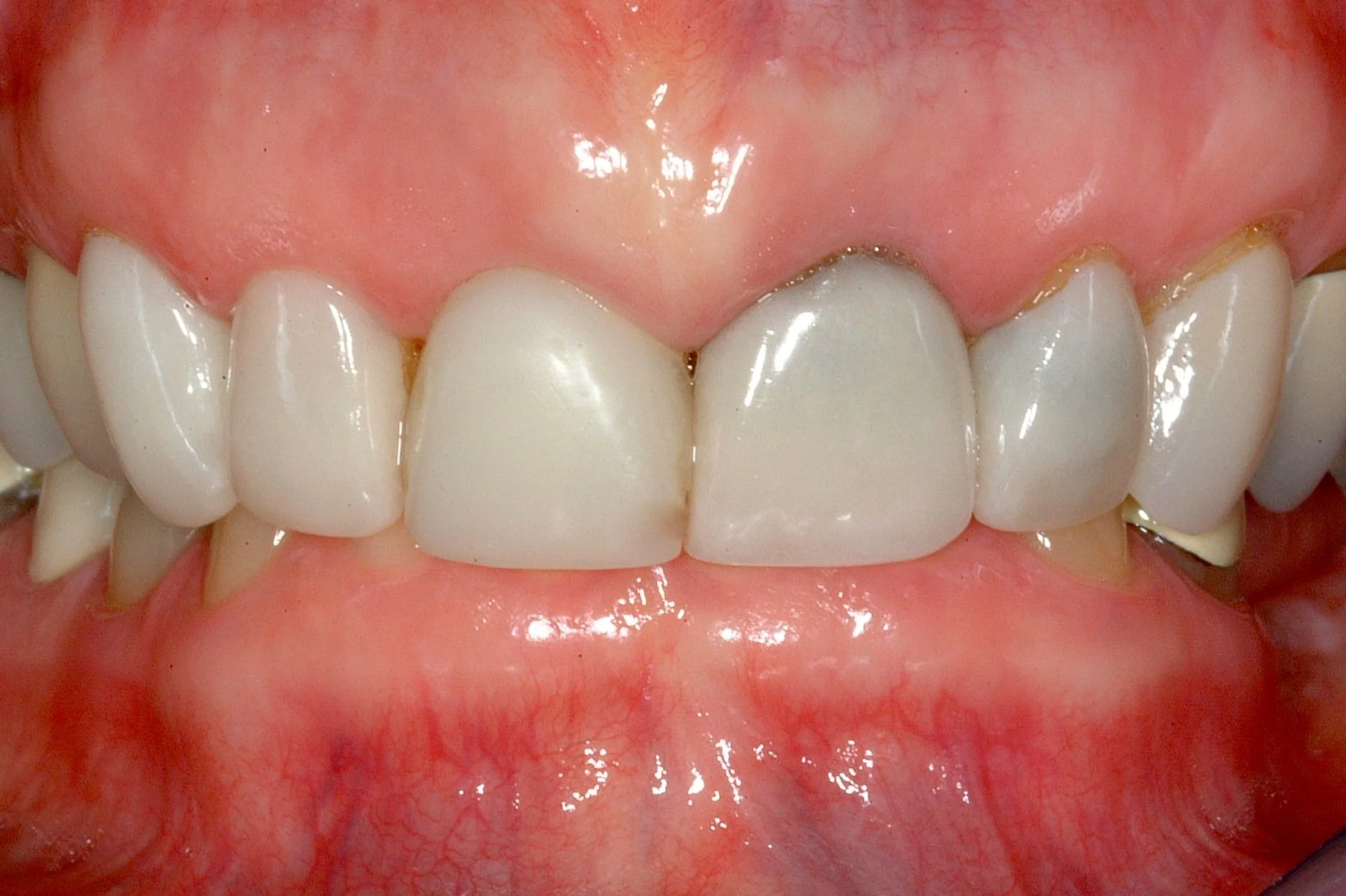
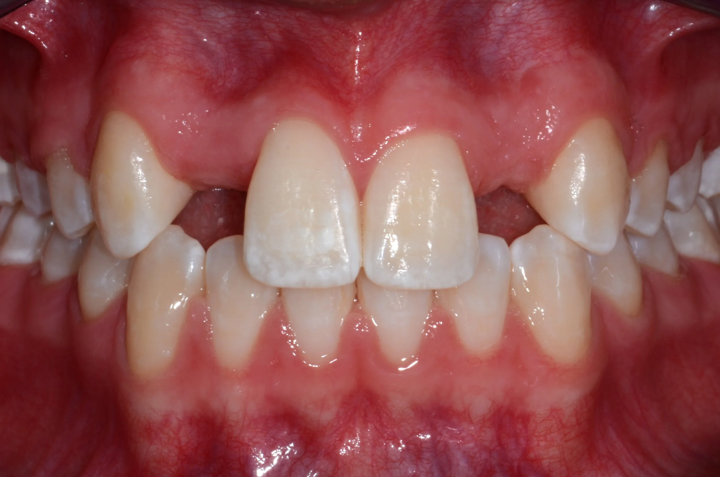
Thank you for taking the time to visit my educational website!  My hope is that, as you explore within, you will understand my vision for creating a space where dental professionals can go to find useful, interdisciplinary information that can be applied in everyday practice.  You will find tools that will help you become a more confident, interdisciplinary thinker who recognizes the value of the interdisciplinary team.  You will gain an understanding of how to properly manage patients with ortho / perio / restorative concerns. You will also learn the value in utilizing a team approach to form the foundation, upon which, you can build realistic treatment options and make predictable treatment decisions for your patients.  After spending some time exploring the Kokich Education website, I hope you leave feeling more confident in your treatment planning abilities with a desire to return...because you never know when the next challenging, interdisciplinary patient will walk through your door!  Enjoy!