Before and After: The Right Treatment for the Right Reasons

$4.99

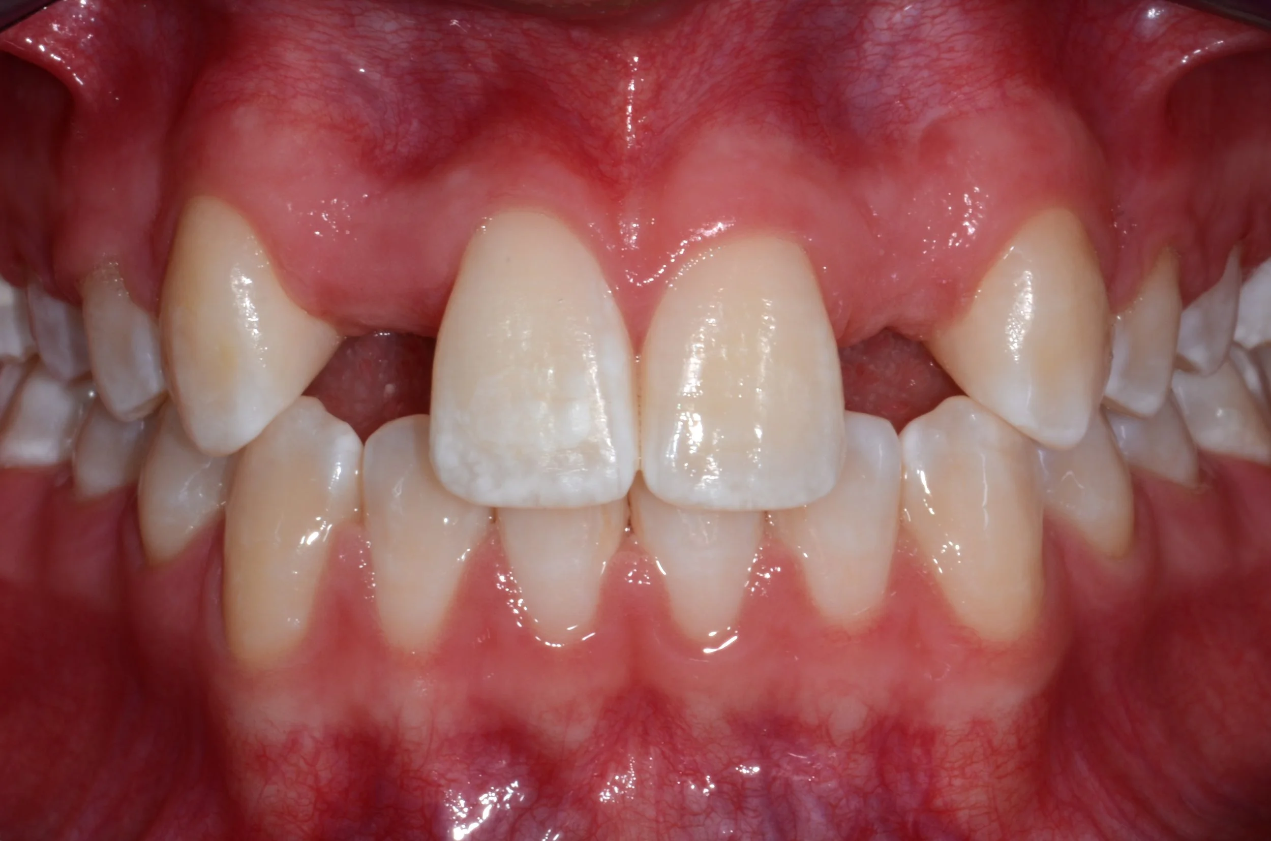
The Before and After: The Right Treatment for the Right Reasons handout on the KE website showcases a clinical case where careful diagnosis led to a thoughtful and effective treatment plan. It highlights the importance of understanding the “why” behind each decision, rather than just focusing on outcomes. This resource emphasizes critical thinking and individualized care to achieve results that are both esthetic and stable.

The Before and After: The Right Treatment for the Right Reasons handout on the KE website showcases a clinical case where careful diagnosis led to a thoughtful and effective treatment plan. It highlights the importance of understanding the “why” behind each decision, rather than just focusing on outcomes. This resource emphasizes critical thinking and individualized care to achieve results that are both esthetic and stable.